Опубликовано на Швейцария: новости на русском языке (https://nashagazeta.ch)


Швейцарская школьница заболела туберкулезом | Une fille de 12 ans a contracté tuberculose à Zoug

Автор: Надежда Сикорская, Баар , 12.05.2010.

Фото - Наша газета
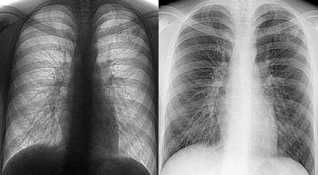
Рентгеновский анализ развеет ваши сомнения
И это при том, что Федеральная Политехническая Школа Лозанны (EPFL) признана мировым лидером в области исследований, направленных на борьбу с этой болезнью.
|
Et pourtant la Suisse est le leadeur mondial dans la lutte contre cette maladie.
Une fille de 12 ans a contracté tuberculose à Zoug

Как мы экстренно сообщили вчера, двенадцатилетняя ученица шестого класса средней школы города Баар в кантоне Цуг заболела туберкулезом, болезнью, лидером по борьбе с которой признана Швейцария и которую здесь, по всеобщему мнению, в принципе, искоренили.

Пока не установлено, как именно произошло заражение – результаты анализов одноклассников девочки будут известны только на будущей неделе. Но уже объявлено, что первые тексты оказались позитивными, а значит – потребуются новые исследования.

Однако даже возможное инфицирование не означает, что дети больны. По крайней мере, такое заверение в письменной форме направили родителям подозреваемых в заражении школьников  представители властей кантона Цуг и Лиги по борьбе с легочными заболеваниями.

По словам главного врача кантона Цуг Рудольфа Аури, девочка находится в госпитале. Она поступила сюда на прошлой неделе с признаками пневмонии, однако рентгеновский анализ показал, что речь идет о туберкулезе.

Заражение могло произойти и несколько лет назад, считает Рудольф Аури. Ведь только 5-10% инфицированных в итоге заболевает туберкулезом. В Швейцарии, как мы уже писали, ежегодно регистрируется около 500 случаев заболевания, эти показатели гораздо выше в странах Восточной Европе. По данным Роспотребнадзора, в России каждый год туберкулезом заболевают около 117 000 человек, а умирают – 25 900.  Эта цифра включает около 4 000 детей младше 15 лет. (Для сравнения – в США в год регистрируется около 12 000 новых случаев заболевания. От туберкулеза в США ежегодно умирают около 650 человек).  Всего же, по статистике Всемирной организации здоровья, в мире от туберкулеза умирают ежегодно 2 миллиона человек.

Туберкулез, который можно «подцепить» воздушно-капельным путем,через дыхательные пути, - болезнь излечимая. Симптомы ее различны, от непреходящего кашля до отсутствия аппетита, резкого похудания и сильного потения по ночам.

Надеемся, что новость о случае заражения туберкулезом в Цуге не повлияет на планы Виктора Вексельберга, ведь он только собрался сюда туда переезжать.


Source URL: https://dev.nashagazeta.ch/news/sante/9803